中醫大市立醫院 救腦・救心・救急・救命 為你守住闔家團圓時刻 - 熱門新訊 - 自由電子報

中醫大市立醫院 救腦・救心・救急・救命 為你守住闔家團圓時刻

2026/02/27 12:00

圖、文/臺中市立老人復健綜合醫院提供

春節團圓時刻,臺中市立老人復健綜合醫院(委託財團法人中國醫藥大學興建經營)(簡稱中醫大市醫)醫療團隊24小時堅守崗位,以「救腦、救心、救急、救命」為使命,整合腦血管、心血管、急重症與微創脊椎等團隊,從急性心肌梗塞、顱內動脈瘤破裂到急性椎間盤突出,啟動跨科協作與智慧醫療機制,成功搶救多名急重症患者,守護市民生命安全,讓家庭安心團圓。

臺中市立老人復健綜合醫院(委託財團法人中國醫藥大學興建經營)位於北屯區太原路三段1141號,74號快速道路太原出口。臺中市立老人復健綜合醫院(委託財團法人中國醫藥大學興建經營)位於北屯區太原路三段1141號,74號快速道路太原出口。

【救腦】腦血管中心暨急診外傷中心 24小時中風救護

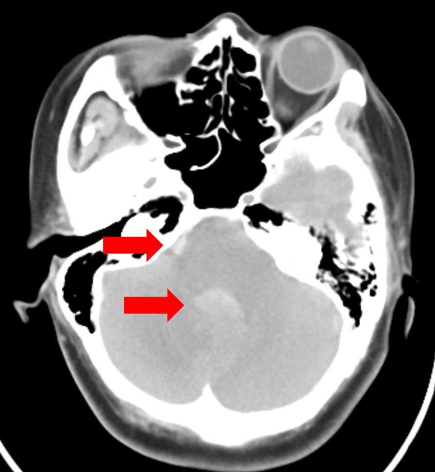
除夕夜,一名49歲女性突發劇烈頭痛、嘔吐,晚間意識不清送醫,檢查發現大量蜘蛛膜下腔出血及腦室內出血,確診為顱內動脈瘤破裂。急診立即插管,並由神經外科完成動脈瘤夾閉手術,大年初二剛好是患者生日,術後逐漸恢復清醒,四肢活動正常。

神經內外科團隊啟動「Stroke Code」綠色通道,結合AI影像判讀與跨科決策,提供血栓溶解、動脈取栓、血管支架與導航手術等全方位治療,並銜接復健與長照,降低再中風風險。

腦動脈瘤破裂引起的出血(箭頭處)。腦動脈瘤破裂引起的出血(箭頭處)。

【救心】心血管中心暨急診外傷中心 搶救心肌梗塞

一名61歲越南台商春節返國前出現胸悶冒冷汗,抵院後確診急性心肌梗塞,立即啟動心導管團隊,即時完成手術打通血管,順利出院。

發展3D定位心律不整消融手術、重度冠狀動脈鈣化混合鑽石研磨與碎石術、迷走神經暈厥的副交感消融術與神經定位腎動脈交感神經消融術治療難治性高血壓、頑固性關節疼痛的微導管血管栓塞止痛,以及洗腎廔管即時打通與周邊血管成形術,降低截肢與感染風險,打造完整心血管守護網。

心血管中心提供多元治療,改善難治性高血壓、頑固性關節疼痛,降低洗腎患者截肢與感染風險。心血管中心提供多元治療,改善難治性高血壓、頑固性關節疼痛,降低洗腎患者截肢與感染風險。

【救急】微創脊椎中心 治療精準 安全快速

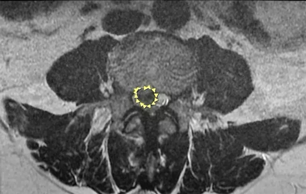
春節期間為一名31歲急性椎間盤突出女性患者施行3D導航脊椎內視鏡手術,60分鐘完成治療、隔日出院。中心整合骨科、神經外科與復健團隊,以1公分傷口精準移除病灶,降低風險、縮短住院時間,提升高齡與急性疼痛患者生活品質。

中醫大市醫微創脊椎中心日前救治一名急性椎間盤突出患者,藉由電腦導航脊椎內視鏡手術,僅花60分鐘解除患者疼痛。(示意圖,非當事人)(圖/中醫大市醫張建鈞醫師提供)中醫大市醫微創脊椎中心日前救治一名急性椎間盤突出患者,藉由電腦導航脊椎內視鏡手術,僅花60分鐘解除患者疼痛。(示意圖,非當事人)(圖/中醫大市醫張建鈞醫師提供)

【救命】全齡全程守護生命

中醫大市醫表示,無論平日或年節,團隊皆以跨科整合與智慧醫療為後盾,建構從急診、重症到手術與復健的一條龍照護體系,持續守護台中市民的生命與健康。

(專輯)

不用抽 不用搶 現在用APP看新聞 保證天天中獎  點我下載APP  按我看活動辦法

熱門焦點